
الدكتورة ريم الصفدي من مركز الدكتور بسام الحمصي الطبي تتحدث عن أمراض اللثة وعلاجها
روافد العربية / د. وسيلة محمود الحلبي
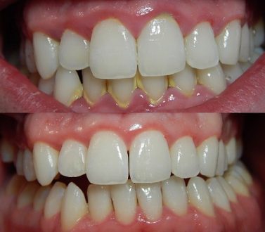
أكدت الدكتورة ريم الصفدي من مركز الدكتور بسام الحمصي الطبي أن التهاب اللثة هو مرض شائع ومعتدل من أمراض اللثة (مرض دواعم السن) ويتسبب في تهيج واحمرار وتورم (التهاب) اللثة، وهو الجزء المحيط بجذور الأسنان. ومن المهم أخذ التهاب اللثة بجدية ومعالجته دون إبطاء. لأنه قد يؤدي إلى مرض لثوي آخر أكثر خطورة ويدعى التهاب دواعم السن وفقدان الأسنان.
وقالت: إن السبب الأكثر شيوعًا في التهاب اللثة هو قلة الاهتمام بنظافة الفم. عادات نظافة الفم الصحية من أكثر الأمراض المنتشرة بخصوص أمراض الفم تتعلق باللثة ،مثل النزيف ،الالتهاب ،الاحمرار أو الانتفاخ ولذلك سوف نتعرف سويا كيف يمكن أن يبدأ الالتهاب وأهم علاماته وكيفية الوقاية منه والعلاج:
أولا : يبدأ الموضوع من عدم الانتظام بتفريش الأسنان اليومي والذي بدوره يسبب تراكم بقايا الطعام على حواف الأسنان وهنا يبدأ الاحمرار ومن ثم الانتفاخ إلى أن نصل إلى النزيف عند استخدام الفرشاة أو عند تناول الطعام وللوقاية من أمراض اللثة يجب علينا الاعتناء بنظافة الأسنان اليومية والمتابعة النصف سنوية لدى طبيب الأسنان.
ثانيا : إن كان هناك أمراض أو أدويه يتناولها المريض ،قد تسبب مشاكل باللثة وبهذه الحالة يتم مراجعة طبيب الأسنان بالإضافة إلى الطبيب المختص
وأضافت الدكتورة ريم الصفدي أنه في حال كان المريض يعاني من أمراض باللثة عليه مراجعه الطبيب لتنظيف الأسنان ،ثم الاهتمام بالنظافة والالتزام بالتعليمات المعطاة من قبل المختص.




